吉川美南の矯正歯科なら|歯並び・咬み合わせを改善する矯正治療
矯正歯科治療は公的健康保険適用外の自費(自由)診療です。
吉川美南デンタルクリニックの矯正歯科では、 歯並び・咬み合わせの機能改善 を目的とした本格的な矯正治療をご提供しています。美しい見た目だけでなく、 虫歯・歯周病のリスク低減・健康な噛み合わせ を重要視した治療です。
矯正治療が必要な理由
- 歯が重なって磨きにくい → 虫歯・歯周病リスク増
- 噛み合わせが悪い → 消化器官の負担増・顎関節症の不安
- 見た目の改善 → 自信のある笑顔・フェイスラインの変化
歯並びを整えることは、見た目だけでなく お口全体の健康と体全体の健康 に繋がります。
子どもも大人も可能な矯正治療
矯正は 子どもだけの治療ではありません。
成長期の治療と成人の治療ではアプローチが異なりますが、どちらの場合も改善可能です。50代・60代でも矯正治療の実績があります。
当院の矯正治療の特徴|吉川美南で矯正歯科をお探しの方へ
吉川美南エリアで矯正歯科をご検討の方へ。当院では表側矯正をメインとした確実性の高い矯正治療を行っております。歯並びや噛み合わせの状態、ライフスタイル、ご希望に応じて、マウスピース型矯正装置(インビザライン)も選択可能です。
表側矯正をメインに行う理由
当院では、長年実績のある表側矯正(ワイヤー矯正)を基本としています。
表側矯正は、歯の表面にブラケット装置を装着し、ワイヤーの力で歯を正しい位置へ動かす治療方法です。
表側矯正のメリット
- 幅広い症例に対応可能(重度の叢生・抜歯症例にも対応)
- 歯の細かなコントロールができ、仕上がりの精度が高い
- 治療計画通りに歯を動かしやすい
- マウスピース矯正では難しい症例にも対応可能
確実性と適応範囲の広さが、表側矯正の大きな強みです。
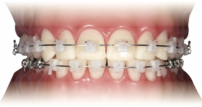
ジニアスブラケット(セルフライゲーションブラケット)を採用
当院の表側矯正では、ジニアスブラケット(セルフライゲーションブラケット)を使用しています。
セルフライゲーションブラケットとは、従来のようにゴムや結紮線でワイヤーを固定するのではなく、ブラケット自体に開閉式の機構があり、ワイヤーを保持するシステムです。
ジニアスブラケットの特徴
- 摩擦が少なく、歯がスムーズに動きやすい
- 弱い力で効率よく歯を動かせる
- 痛みや違和感が比較的少ない
- 口腔内が清掃しやすい設計
患者さまの負担を軽減しながら、効率的かつ精密な矯正治療を行うことが可能です。
治療期間は1年半から2年半程になります。



マウスピース型矯正装置(インビザライン)も選択可能
当院では、透明で目立ちにくいマウスピース型矯正装置(インビザライン)にも対応しております。

インビザラインの特徴
通院回数を抑えられる場合がある
透明で目立ちにくい
取り外し可能で食事・歯磨きがしやすい
金属を使用しないため見た目が自然
ただし、すべての症例に適応できるわけではありません。歯並びや噛み合わせの状態によっては、表側矯正の方が適している場合もあります。
治療期間は2年から3年程になります。
患者さまに合わせた最適な矯正治療をご提案
当院では、「表側矯正を基本」としながらも、インビザラインを含めた複数の選択肢の中から、患者さま一人ひとりに最適な治療方法をご提案いたします。
矯正治療の流れ
STEP1 カウンセリング(30分)
矯正医師が、患者様のお悩みや、ご希望をお伺いし、問診内容時点での可能な治療法をご提案します。
STEP2 精密検査(検査費用¥48,400)(60分)
CTを取り、顎の骨などの状況を判断します。
STEP3 治療方針の決定(30分)
患者様にあった矯正装置の提案(永久歯の場合¥1,064,800~¥1,609,300)、治療期間の計画(永久歯の場合2~3年)をご説明します。
STEP4 契約及び、矯正装置の下準備(30分)
矯正装置をご検討いただき、治療をご希望される場合は、契約を行います。契約後は、矯正装置の型どりを行います。必要のない装置もございます。
STEP5 矯正装置の装着(30~60分)
ブラケットタイプは矯正医師により、歯に矯正装置を装着させます。マウスピース型は最初のマウスピースをお渡しします。
STEP6 1カ月に1度の調整(調整費¥6,600)(30分)
3週間~1か月に一度、装置に問題がないか、歯の矯正状況の確認をし、歯のクリーニングを行います。永久歯の場合、20~40回のご来院が必要です。
STEP7 矯正装置の除去(30分)
矯正装置の装着により、歯並びが整いましたら、装置を除去します。
STEP8 保定装置の装着(保定期間)
きれいになった歯並びが元に戻らないように保定装置を装着します。(治療期間とほぼ同様の期間が必要です)基本的に食事と歯磨きをする時以外は装着が必要です。
成人矯正 Q&A
吉川美南で成人矯正をご検討中の方から、よくいただくご質問をまとめました。
Q. 大人になってからでも矯正はできますか?
A. はい、可能です。歯や歯ぐきが健康であれば、年齢に関係なく矯正治療は行えます。20代〜50代以上の方まで幅広く治療を受けられています。
Q. 成人矯正の治療期間はどれくらいですか?
A. 症例によりますが、約1年半〜3年程度が目安です。歯並びの状態や抜歯の有無によって異なります。治療後は後戻りを防ぐための保定期間(2年程度)が必要です。
Q. 大人の矯正は痛いですか?
A. 装置装着後や調整後に2〜3日ほど違和感や軽い痛みが出ることがありますが、多くは数日で落ち着きます。弱い力で歯を動かす装置を使用し、できるだけ負担を軽減しています。
Q. 目立たない矯正はできますか?
A. はい、可能です。表側矯正(ワイヤー矯正)のセラミックをご選択いただければ目立ちにくく、また透明で目立ちにくいマウスピース型矯正装置(インビザライン)も選択可能です。歯並びの状態に応じて最適な方法をご提案します。
Q. 成人矯正で抜歯は必要ですか?
A. 歯並びや顎の大きさによって異なります。精密検査を行い、できる限り負担の少ない治療計画をご提案します。必ずしも抜歯になるわけではありません。
Q. 矯正中に虫歯になりませんか?
A. 装置が付くことで歯磨きが難しくなり、虫歯や歯周病のリスクが高まることがあります。当院では定期的なチェックとクリーニングを行い、予防管理にも力を入れています。
Q. 費用はどれくらいかかりますか?
A. 成人矯正は自費診療です。治療方法や期間によって費用は異なりますが、表側矯正は、1,064,800円~、マウスピース型矯正装置(インビザライン)は1,210,000円となっております。
Q. 矯正治療中に妊娠しても大丈夫ですか?
A. 基本的に治療は継続可能ですが、体調に配慮しながら通院間隔を調整します。必要に応じて治療計画を柔軟に対応します。
Q. 矯正で顔つきは変わりますか?
A. 歯並びや口元の突出感が改善することで、横顔や口元の印象が整うことがあります。ただし、骨格自体が大きく変わるわけではありません。
Q. 相談だけでも可能ですか?
A. もちろん可能です。成人矯正はライフスタイルとの両立が大切です。まずはお気軽にご相談ください。
当院の矯正担当医について

日本矯正歯科学会認定医:市川 照代
矯正治療は、歯並びをきれいに整えるだけでなく、正しい噛み合わせをつくり、将来のむし歯や歯周病のリスクを減らすことにもつながる大切な治療です。見た目の改善はもちろん、お口全体の健康を長く守ることを目的に診療を行っております。
患者さま一人ひとりで歯並びや骨格、ライフスタイルは異なります。当院では丁寧なカウンセリングと精密な検査を行い、それぞれに適した治療計画をご提案いたします。治療内容や期間、費用についても分かりやすくご説明し、ご納得いただいたうえで治療を開始いたしますのでご安心ください。
吉川美南で矯正歯科をご検討の方は、どうぞお気軽にご相談ください。皆さまが自信を持って笑える毎日をサポートいたします。
成人矯正価格
- メタルブラケット
- ¥1,064,800
- ハーフセラミックブラケット
- ¥1,210,000
- セラミックブラケット
- ¥1,270,500
- マウスピース矯正
- ¥1,210,000
- 部分矯正
- 使用する装置数により変動
- 精密検査
- ¥48,400
- 調整料(1回毎)
- ¥6,600
- 矯正便宜抜歯(1歯)
- ¥7,700
- アンカースクリュー(1本)
- ¥36,300
※税込価格
マウスピース型矯正装置(インビザライン)のご選択の際の注意点
①マウスピース型矯正装置(インビザライン)は医薬品医療機器等法(薬機法)の承認を受けてない未承認医薬品です。
②マウスピース型矯正装置(インビザライン)は、米国アライン・テクノロジー社の製品であり、インビザライン・ジャパン株式会社を介して入手しています。
③国内にもマウスピース型矯正装置として医薬品医療機器等法(薬機法)の承認を受けているものは複数存在します。
④マウスピース型矯正装置(インビザライン)は、1997年FDA(米国食品医薬品局)により医療機器として認証を受けています。
⑤マウスピース型矯正装置(インビザライン)は、完成物薬機法対象外の矯正装置であり、承認薬品を対象とする医薬品副作用被害救済制度の対象外となる場合があります。



